Dr. Cambou & Ph.D. student Saloni Jain paper accepted into Applied Science journal!

Dr. Bertrand Cambou and Ph.D. student Saloni Jain co-authored a paper that was just accepted for publication in the Applied Science magazine of MDPI. The title of the paper is “Key recovery for content protection using ternary PUFs designed with pre-formed ReRAM.” Look out for it in the Computing and Artificial Intelligence section soon. Congrats […]
Gibbs, Castañeda published in Particle

Dr. John Gibbs and graduate student John Castañeda published in Particle. Find the journal article here.
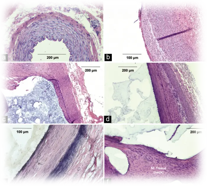
Dr. Timothy Becker research published by Surgical Neurology International

Background: PPODA-QT is a novel liquid embolic under development for the treatment of cerebral aneurysms. We sought to test the rabbit-elastase aneurysm model to evaluate the tissue response following PPODA-QT embolization. Read the article here.
Ryan Behunin published in ‘Nature Communications.

¡MIRA! faculty Ryan Behunin co-authored the article, “422 Million intrinsic quality factor planar integrated all-waveguide resonator with sub-MHz linewidth” published in Nature Communications. The study investigates high quality-factor (Q) optical resonators and their integration in a photonic waveguide platform with the goal of enhancing waveguide resonator technology.